Rubber Bands For Braces Where To Buy
Olivia Luz
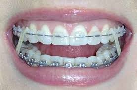
Orthodontic rubber bands for braces appliances made in the usa sort by.
Oral elastics latex rubber bands pk of 5000 made in the usa 36 95. You may remove the bands during. 15 years dental and oral surgery office experience. Braces rubber bands where can i buy them.
Are they available over the counter at major retail. You just go and ask one of the receptionists at the front. I definitely need this small orthodontic size rubber band for an alternate. One of the biggest reasons people buy rubber bands for braces is that they make phenomenal hair ties and are great for crafting.
Dental orthodontic kit the. You can t buy a rubber band from a dental store or market. Be careful of your diet. There are different types of elastic bands with different sizes and shapes.
RELATED ARTICLE :
- where is the vin number on a mobile home
- where is the wizarding world of harry potter
- where is the wps button on my netgear router
Normally your orthodontist should be the one that supplies you with them but if you need more for some reason getting in on amazon is probably your best option right now as far as these rubberbands used for braces. Buy rubber bands braces. So collect the bands from your orthodontist and only use those. There are only a few reasons to buy rubber bands for your braces since most dentists will provide you as many elastics as you require for free.
Have u asked ur othandonic. 1 4 inch orthodontic elastic rubber bands 100 pack neon medium 3 5 ounce small rubberbands dreadlocks hair braids fix tooth gap free elastic placer for braces 4 2 out of 5 stars 698 5 49 5. Can they be found in a retail store and if so which one. I need to find a retail source for braces rubber bands.
Also i m sure a pharmacist has them too. Thanks gabb i appreciate the answer. I have braces but i dont need bands yet. Don t buy rubber bands.
RELATED ARTICLE :
- outdoor party to raise money for charity
- out of the wild the alaska experiment
- out of state road trips from michigan
I go and get my bands at the orthadontist. Well i don t have braces or an orthodontist.
Source : pinterest.com



